Common Problems

Orthodontic problems are more common than many people realize. Very few people are born with perfectly aligned teeth and a perfectly balanced bite. Issues such as crowding, spacing, and bite misalignment can affect not only the appearance of your smile but also your oral health and long-term function.

At Beaverton Orthodontics, Dr. Song carefully evaluates bite alignment, jaw development, and facial balance to diagnose orthodontic concerns and create personalized treatment plans for children, teens, and adults.

Below are some of the most common orthodontic problems we treat.

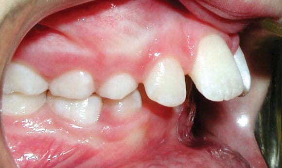
Upper Front Teeth Protrusion

Upper front teeth protrusion occurs when the upper teeth extend too far forward, or the lower jaw sits too far back. This condition can affect facial balance, increase the risk of dental injury, and interfere with proper bite function during chewing.

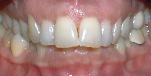
Overbite

An overbite happens when the upper front teeth excessively overlap the lower front teeth. In more severe cases, this can cause uneven tooth wear, jaw discomfort, and added pressure on the lower teeth over time.

Crossbite

A crossbite develops when the upper teeth sit inside the lower teeth rather than outside. This misalignment can contribute to uneven tooth wear, gum recession, and improper jaw growth if not corrected.

Openbite

An open bite is present when the upper and lower front teeth do not overlap when the mouth is closed. This condition can interfere with chewing, speech development, and proper biting function.

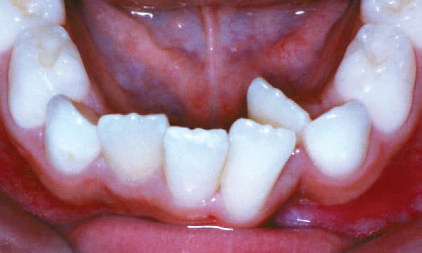
Crowding

Crowding develops when there is not enough space in the jaw for all teeth to align properly. Teeth may overlap, rotate, or become difficult to clean, increasing the risk of tooth decay and gum disease.

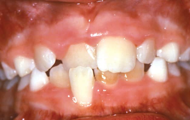
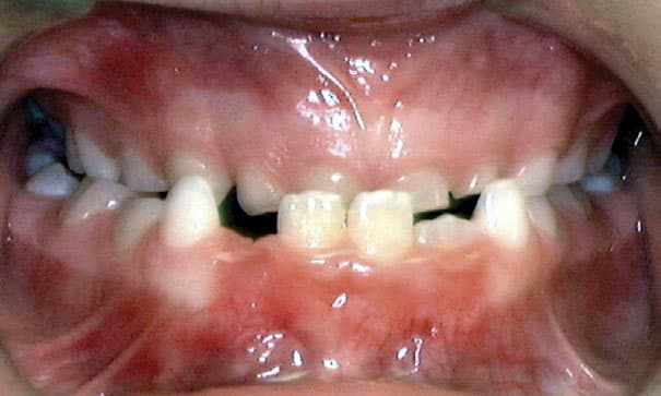
Spacing

Spacing refers to gaps between teeth that may result from missing teeth, small tooth size, or jaw size discrepancies. While sometimes cosmetic, spacing can also affect bite stability and long-term alignment.

Underbite

An underbite occurs when the lower jaw extends forward beyond the upper jaw. This condition can impact chewing efficiency, speech clarity, and overall facial harmony if left untreated.